Guides pratiques
Protocole et principe IHC
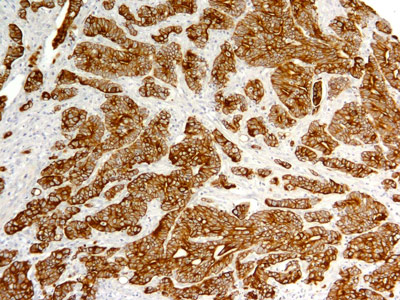
L’immunohistochimie est une technique qui vise à localiser une protéine dans des cellules au sein d’une coupe de tissu en utilisant un anticorps spécifique, qui va venir se lier à un antigène du tissu biologique en question. Cette technique est très utilisée par exemple pour préciser un diagnostic en catégorisant une tumeur (malignité, classification…).
Protocole et principe IHC style="border-radus:10px"
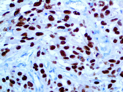
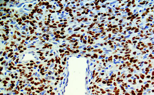
Anticorps BAP1 clone C4
La protéine BAP1 ou BRCA1 associated protein-1 (ubiquitin carboxy- terminal hydrolase) est une enzyme de dé-ubiquitination codée par le gène BAP1 situé sur le chromosome humain n°3 . BAP1 (BRCA1-associated protein 1) se lie au domaine N-terminal de BRCA1 et est considéré comme un gène suppresseur des tumeurs.
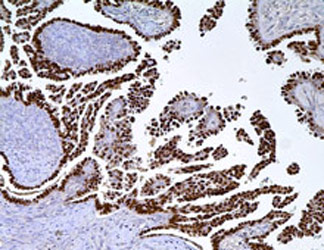
STAT6 Clone EP325
Les tumeurs fibreuses solitaires (SFT) sont des neoplasmes fibroblastiques peu communs. Souvent diagnostiquées par leurs caractéristiques histologiques et une expression fréquente de CD34...
Anticorps Monoclonaux de Rat - Spécifiques Souris
Découvrez nos nouveaux anticorps monoclonaux de rat spécifiques de la souris pour l'IHC-P.
Uroplakine II
Les Uroplakines Ia, Ib, II et III sont des protéines structurales des cellules urothéliales différenciées en position terminale.
Dans les cellules urothéliales non néoplasiques, les Uroplakines sont exprimées dans la membrane luminale des cellules superficielles.
Cadhérine 17
Un nouveau marqueur pour le diagnostic des cancers gastro-intestinaux.
La cadhérine 17 est l’une des cadhérines non-classiques et est également désignée comme LI-cadhérine ou CDH17. Elle est impliquée dans l’invasion tumorale et les métastases...
SOX-10
SOX-10 est un marqueur très sensible pour les mélanomes (97% contre 91% pour le S-100). Il est particulièrement sensible pour les mélanomes desmoplastiques qui sont souvent difficiles à détecter par d’autres marqueurs de mélanocytes. SOX-10 est modérément à fortement exprimée dans les mélanomes...
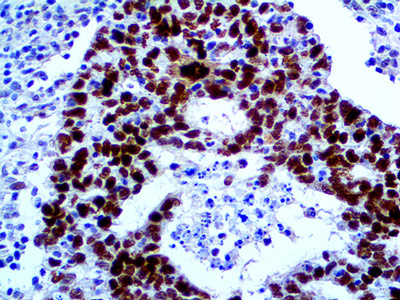
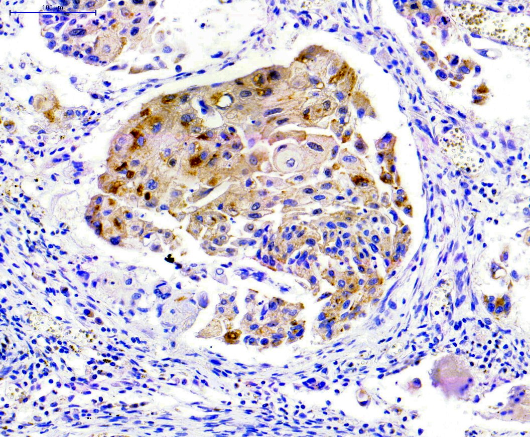
Arginase -1
La distinction de métastases hépatiques des carcinomes hépatocellulaires (HCC) peut présenter quelques difficultés. L’Arginase-1 est un marqueur des HCC récemment décrit dans la littérature comme étant un nouveau anticorps polyclonal hautement spécifique et sensible dans la détection des HCC...
ALK/p80 : Lignées Cellulaires Contrôles
Le 9-Core ALK-1 Cell Line et le 3-Core Lung Cancer Cell Line Microarray sont constitués de dépots de 2 mm de diamètre de lignées cellulaires fixées au formol et incluses en parafine...
Anticorps MDM2
MDM2 est un régulateur négatif important du suppresseur de tumeur p53. La protéine MDM2 possède à la fois la fonction d’une ubiquitine ligase E3 qui reconnaît le domaine N-terminal de trans-activation (TAD) du suppresseur de tumeur p53, et celle d’un inhibiteur de l’activation de la transcription de p53. Déjà connue pour son rôle d’oncogène, il a été montré que la protéine MDM2...
SATB2
SATB2 (Special AT-sequence rich-Binding Protein 2) serait un nouveau marqueur très spécifique du cancer colorectal (CCR).
Cette protéine est exprimée sélectivement dans les cellules glandulaires du tractus gastro-intestinal inférieur et son expression est conservée dans une grande majorité de CCR primaires et métastatiques.
Anticorps NKX3.1
NKX3-1 a été identifié comme marqueur des tumeurs métastatiques. NKX3.1 est positif pour les cellules de carcinome de la prostate présentant une coloration nucléaire. La plupart des cas de carcinomes urothéliaux ont été trouvés négatifs pour NKX3.1 ce qui permet de distinguer les adénocarcinomes de la prostate de haut grade et les carcinomes urothéliaux de haut grade infiltrés...
Cytokératine Pan Plus
Ce cocktail permet la détection des cytokératines acides 10, 15, 16 et 19 (Type I) grâce au clone AE1, de toutes les cytokératines basics (Type II) soit la CK1 à la CK8 grâce au clone AE3, et des cytokeratines 8 et 18 grâce au clone 5D3.
Ce cocktail d’anticorps permet de détecter un large spectre de cytokératines...
Cytokératine KL1 de nouveau disponible!
Cet anticorps reconnaît les cellules néoplasiques et normales des cellules d’origine épithéliale mais ne reconnaît pas les cellules des couches basales épidermiques.
Sa spécificité est de reconnaître les cytokératines 1, 2, 5, 6, 7, 8, 10, 11, 14, 16, 17, 18 et 19.
Anticorps PAX-8
PAX-8 appartient à la famille des protéines des facteurs de transcription “paired box”. Cette protéine nucléaire est impliquée dans le développement des cellules folliculaires de la thyroïde et dans l’expression de gènes spécifiques de la thyroïde. Des mutations dans le gène PAX-8 ont été associées à une dysgénésie, carcinome folliculaire et des adénomes atypiques de la glande thyroïde...
Anticorps Galectin-3, Clone 9C4
La Galectine-3 est une lectine de 31 kDa qui se lie à la bêta-galactosidase. La Galectine-3 est normalement exprimée dans les épithéliums de nombreux organes et diverses cellules inflammatoires, y compris les macrophages, les cellules dendritiques et les cellules de Kupffer...
L'expression de cette lectine est régulée à la hausse au cours de...
Pin Cocktail
Ce cocktail d’anticorps est destiné à la détection de la P504S humaine (connu également sous la dénomination AMACR ou α-Methylacyl-CoA-Racemase) et de la p63 humaine dans des tissus fixés au formol et inclus dans la paraffine.
HMGA2
Les protéines du Groupe de Haute Motilité (High Mobility Group HMG) sont des facteurs de transcription exprimés durant le développement embryonnaire et sont absents dans les tissus adultes normaux. Cette famille est constituée de trois protéines : HMGI, HMGA2 (aussi connue sous le nom d’HMGI-C) et HMGI (Y)...
Stylo Chimiluminescent - WesternBright ChemiPen
Le WesternBright ChemiPen permet d’écrire ou de dessiner sur les membranes de transfert et de révéler les standards protéiques par exemple.
Immunophénotype des carcinomes par IHC
Retrouvez ici quelques informations scientifiques mettant en relation les anticorps à utiliser pour des tissus spécifiques en diagnostic.
Stabilité des anticorps – Diluant d’anticorps
La stabilité des anticorps dilués dépend de plusieurs facteurs. Le tampon de dilution...
Protocole pour la réalisation d’un marquage immunohistochimique sur des coupes flottantes
Retrouvez ici le protocole pour la réalisation d’un marquage immunohistochimique sur des coupes flottantes.
Pour le diagnostic, choisir le bon contrôle positif !
Retrouvez ci-joint une compilation des meilleurs contrôles positifs à utiliser pour chaque anticorps primaire utilisé en Immunohistochimie.
Protocole pour la réalisation d’un double marquage séquentiel en immunohistochimie
Microglie et maladie d'Alzheimer
La microglie est une population de macrophages située dans le système nerveux central (SNC), dont le premier rôle est la défense immunitaire du SNC. Des études ont montré que ces cellules pouvaient être impliquées dans le développement de la maladie d’Alzheimer.
SARS-CoV-2
Le nouveau coronavirus (SARS-CoV-2) a été découvert début janvier dans la ville de Wuhan (Chine) et s'est propagé dans le monde entier en quelques mois. La recherche de traitement efficace passe par l'étude du virus et DiagOmics se mobilise aux côtés de la communauté scientifique pour le combattre.
Gamme de réactifs pour la Cytométrie en Flux
Retrouvez ici notre gamme d'anticorps et de réactifs pour la cytométrie en flux.
Anticorps spécifiques des fibres de collagène
Retrouvez ici tous nos anticorps dirigés contre les différentes fibres de collagène.
Boites compartimentées pour vos Western Blot
Nos nouvelles boites compartimentées pour les colorations de vos gels ou membranes de Western Blot sont enfin disponibles!!!
Gamme d'ECL à Sensibilité Croissante - WesternBright ECL
Le WesternBright ECL est un substrat de peroxydase optimisé pour les Westerns Blots.
Demande d'échantillon
Tampon de Transfert plus efficace et plus rapide
Le tampon FLASHBLOT améliore le transfert des protéines sur les membranes de western blot
Spectra Dye Antibody Labeling Kits
Les Kits Spectra Dye Antibody Labeling contiennent tout ce dont vous avez besoin pour coupler des anticorps...
Tampon de Déshybridation - Western Blot Strip-It Buffer
Le tampon Advansta Western Blot Strip-It supprime uniformément les anticorps des membranes de Western blot...
TintoRetriever Pressure Cooker
La cocotte minute TintoRetriever de BioSB permet de contrôler rigoureusement la température et la durée du prétraitement antigénique ou nucléïque des tissus fixés au formol et inclus en parafine...
Protocole Western Blot
Retrouvez ici un protocole pour vous guider et réaliser un Western Blot.
Protocole ELISA
Enzyme-Linked Immunosorbent Assays (tests ELISA) sont utilisés pour mesurer une concentration inconnue d'antigène ou d'anticorps.
Stabilité des anticorps – Diluant d’anticorps
La stabilité des anticorps dilués dépend de plusieurs facteurs. Le tampon de dilution...
Protocole pour la réalisation d’un marquage immunohistochimique sur des coupes flottantes
Retrouvez ici le protocole pour la réalisation d’un marquage immunohistochimique sur des coupes flottantes.
Anticorps / Conseils de stockage de sérum
Retrouvez ici quelques conseils pour stocker des anticorps et des sérums.
Troubleshooting Western Blot
Conseils de stockage des produits WB de la gamme Advansta
Retrouvez ici quelques conseils de stockage des produits de la gamme Western Blot d'Advansta.


Télécharger le document