Pin Cocktail

 

Ce cocktail d’anticorps est destiné à la détection de la P504S humaine (connu également sous la dénomination AMACR ou α-Methylacyl-CoA-Racemase) et de la p63 humaine dans des tissus fixés au formol et inclus dans la paraffine.

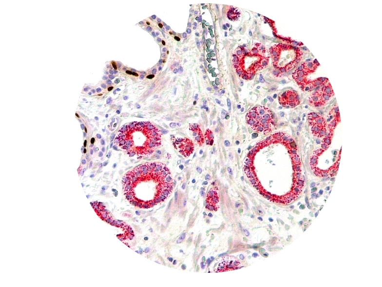
P504S ou AMACR (α-Methylacyl-CoA-Racemase) est une enzyme impliquée dans la β-oxydation de la chaîne ramifiée des acides gras. Elle est exprimée dans les adénocarcinomes prostatiques mais pas dans les glandes bénignes. Sa détection est donc utile pour la distinction entre les glandes malignes et bénignes. P504S est également détectable dans la plupart des cas de néoplasies intra-épithéliales de haut grade dans la prostate (NIHGP). De plus, environ 15-20% des hyperplasies adénomateuses atypiques expriment l’enzyme. Des recherches (A. Nassar et al. 2005) ont montré que P504S est détectable à des niveaux différents dans d’autres tumeurs, côlon, poumon, carcinomes de l’endomètre et du sein ainsi que les mélanomes.

 

Des carcinomes urothéliaux, du rein et des cellules hépatiques sont parfois positifs. p63 est détectée dans les cellules basales des glandes bénignes de la prostate et dans d’autres tissues épithéliaux. Les tumeurs malignes de la prostate sont négatives pour p63. La détection combinée de P504S et p63 est très utile pour le diagnostic des cancers de la prostate sur les micro-biopsies ou les NIHGP. P504S donne un marquage granuleux dans le cytoplasme des glandes prostatiques malignes et pré-malignes alors que p63 est positif dans les noyaux des glandes bénignes.

 

Protocole de coloration

Recommandations Zytomed Systems

*Prétraitement Démasquage antigénique par la chaleur (par exemple dans du tampon Citrate pH 6,0 ZUC028)

(Option : Démasquage antigénique par la chaleur dans du tampon EDTA pH 9,0 qui augmente l’intensité du signal mais crée également souvent du bruit de fond ZUC029).

*Tissus de contrôle : Carcinome de prostate

*Temps d’incubation : 30 – 60 minutes

Pour la visualisation des deux anticorps du cocktail il faut utiliser un système de détection compatible avec des anticorps primaires à partir de la souris et à partir du lapin.

Pour une coloration double immunohistochimique avec ce cocktail d’anticorps nous recommandons d'utiliser le coffret ZytoChem Plus Double Stain Polymer (POLDS-006).

 

Contrôle qualité

Le tissu de contrôle recommandé pour cet examen est un carcinome de prostate.

 

Voir les produits