
This antibody cocktail is intended for human P504S (also known as AMACR or α-Methylacyl-CoA-Racemase) and human p63 detection in formalin-fixed paraffin-embedded tissues.
P504S or AMACR (α-Methylacyl-CoA-Racemase) is an enzyme involved in the β-oxidation of the branched chain of fatty acids. It is expressed in prostatic adenocarcinomas but not in the benign glands. Its detection is therefore useful for distinguishing between the malignant and benign glands. P504S is also detectable in most cases of high-grade intraepithelial neoplasia of the prostate (HGPIN). In addition, about 15-20% of atypical adenomatous hyperplasia express the enzyme. Study (A. Nassar et al. 2005) has shown that P504S is detectable at different levels in other tumors, colon, lung, endometrial and breast carcinomas as well as melanomas.
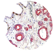
Urothelial, kidney and liver cell carcinomas are sometimes positive. p63 is detected in the basal cells of the benign prostate glands and in other epithelial tissues. Malignant prostate tumors are negative for p63. The combined detection of P504S and p63 is very useful for the prostate cancer detection on micro-biopsies or HGPIN. P504S gives a cytoplasmic granular staining of malignant and pre-malignant prostate glands whereas p63 is positive in the nuclei of the benign glands.
Staining protocol
Zytomed Systems Recommendations
* Heat-induced antigen retrieval (for example in Citrate buffer pH 6.0 ZUC028)
(Option: Heat-induced antigen retrieval in EDTA buffer pH 9.0 which increases the intensity of the signal but also often creates background noise ZUC029).
* Control tissues: Prostate carcinoma
* Incubation time: 30 - 60 minutes
For the visualization of the two antibodies of the cocktail, it is necessary to use a detection system compatible with primary antibodies from mouse and rabbit.
For a double immunohistochemical staining with this antibody cocktail we recommend using the ZytoChem Plus Double Stain Polymer kit (POLDS-006).
Quality Control
The control tissue recommended for this examination is prostate carcinoma.