
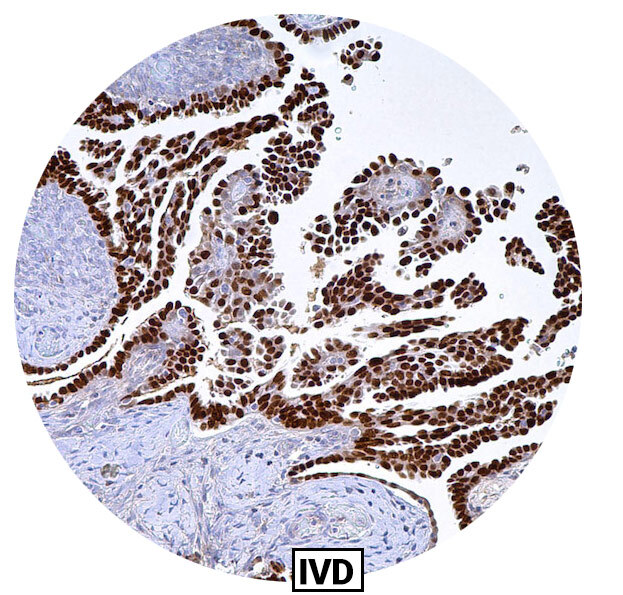
PAX-8 appartient à la famille des protéines des facteurs de transcription “paired box”. Cette protéine nucléaire est impliquée dans le développement des cellules folliculaires de la thyroïde et dans l’expression de gènes spécifiques de la thyroïde. Des mutations dans le gène PAX-8 ont été associées à une dysgénésie, carcinome folliculaire et des adénomes atypiques de la glande thyroïde.
Les résultats des études suggèrent que PAX-8 peut également être utilisé comme marqueur immunohistochimique pour les carcinomes épithéliaux du rein et de l’ovaire. Les carcinomes du sein et du poumon n’expriment pas PAX-8. C’est pourquoi PAX-8 en association avec des marqueurs spécifiques d’organes comme la Mammaglobine, TTF-1 et Uroplakine-III peut être utile pour déterminer le site primaire de carcinome micro-papillaire invasif de l’ovaire, de la vessie, du poumon et du sein.
| Format | Conditionnement | Référence | Fournisseur | Certification | Dilution |
|---|---|---|---|---|---|
| Concentré | 0,5 ml | RBK047-05 | ![]() |
IVD, CE | 1/25-1/100 |
| Prêt à l'emploi | 6 ml | RBG047 | ![]() |
IVD, CE | - |
