
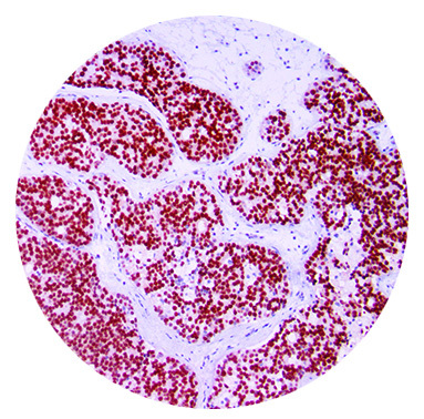
NKX3-1 a été identifié comme marqueur des tumeurs métastatiques. NKX3.1 est positif pour les cellules de carcinome de la prostate présentant une coloration nucléaire. La plupart des cas de carcinomes urothéliaux ont été trouvés négatifs pour NKX3.1 ce qui permet de distinguer les adénocarcinomes de la prostate de haut grade et les carcinomes urothéliaux de haut grade infiltrés. NKX3.1 est également exprimé dans les carcinomes invasifs canalaires (IDC) et dans les carcinomes lobulaires invasifs (ILC) du sein.
L’ expression de NKX3.1 est limitée aux carcinomes positifs pour ER, PR et AR, et est plus fréquemment rencontrée dans les ILC que dans les IDC.
| Format | Conditionnement | Référence | Fournisseur | Certification | Dilution |
|---|---|---|---|---|---|
| Concentré | 0,5 ml | RBK062-05 | ![]() |
IVD, CE | 1/50-1/100 |
| Prêt à l'emploi | 6 ml | RBG062 | ![]() |
IVD, CE | - |
