
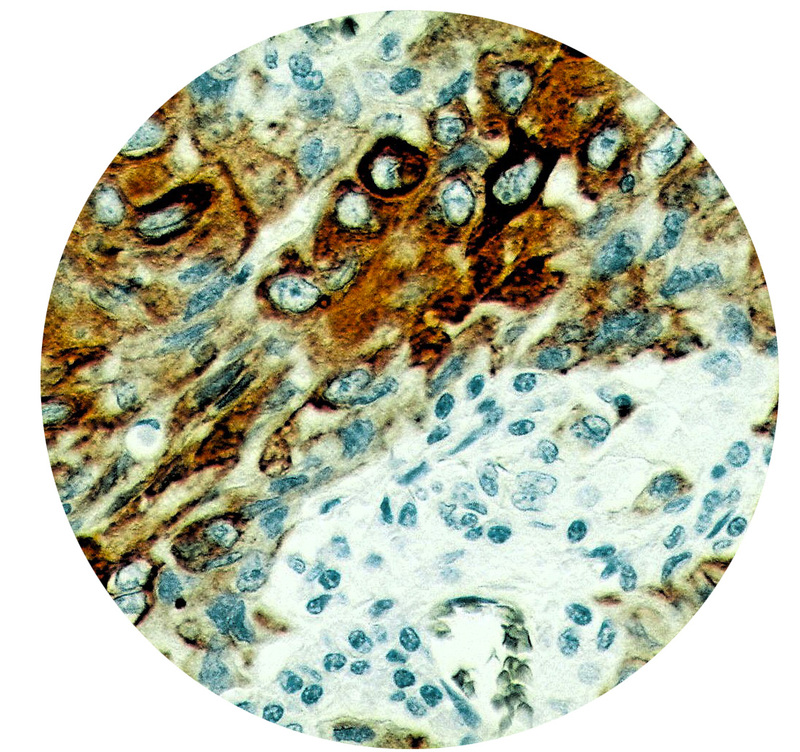
This antibody recognizes neoplastic and normal cells of epithelial origin but does not recognize cells from the epidermal basal layers.
Its specificity is to recognize cytokeratins 1, 2, 5, 6, 7, 8, 10, 11, 14, 16, 17, 18 and 19.
| Format | Conditioning | Reference | Supplier | Certification | Dilution |
|---|---|---|---|---|---|
| Concentrated | 0,5 ml | 10042-05 | ![]() |
IVD, CE | 1/100 |
| Concentrated | 1 ml | 10042-10 | ![]() |
IVD, CE | 1/100 |
| Ready to use | 5 ml | 10042-50 | ![]() |
IVD, CE | - |


