
MDM2 is an important negative regulator of the p53 tumor suppressor. MDM2 is an inhibitor of the P53 transcription, and function like an E3 ubiquitin ligase recognizing the N-terminal domain of trans-activation (TAD) of the tumor suppressor p53. Already known for its oncogene role, it has been shown that MDM2 is overexpressed in several human tumor, in particular in soft tissue sarcomas, osteosarcomas, as well as breast tumors.
It can be difficult to differentiate Well-differentiated liposarcomas (WDLPS), atypical lipomatous tumors (ALT-WDLPS) and dedifferentiated liposarcomas (DDLPS) from benign adipose tumors and poorly differentiated sarcomas. These tumors were characterized by an MDM2 and CDK4 genes amplification on 12q13-15 chromosome as well as an overexpression of these proteins. Their detection by IHC can be used for the WDLPS and DDLPS.
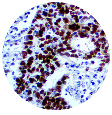
Strong and diffuse nuclear labeling is a robust model for immunostaining in most neoplastic cells.
Low grade osteosarcomas can be classified into two main subgroups based on the location relative to the bone cortex, namely parosteal osteosarcoma and central low-grade osteosarcoma. Their histological appearance is quite similar, and characterized by a spindle cell stroma with a low to moderate density and a well differentiated anastomosis of the bone spans. MDM2 and CDK4 are specific and sensitive markers for the diagnosis of low-grade osteosarcomas, thus differentiating them from benign fibrous lesions and fibro-osseous lesions.